抗体产品星推荐第二十四期lAnti-MDH2 Polyclonal Antibody-商家动态-资讯-生物在线

抗体产品星推荐第二十四期lAnti-MDH2 Polyclonal Antibody

作者:北京索莱宝科技有限公司 2025-01-23T00:00 (访问量:31477)

线粒体是一种存在于大多数真核细胞中的细胞器,内部含有基质,基质中包含多种酶、DNA、RNA和核糖体等物质。线粒体是细胞进行有氧呼吸的主要场所,常被称为细胞的“动力工厂”,在有氧呼吸过程中,它通过一系列复杂的生化反应将有机物(如葡萄糖)逐步氧化分解,最终产生大量的能量(以ATP的形式)供细胞使用。

苹果酸脱氢酶(Malate dehydrogenase,MDH)是线粒体中催化三羧酸循环(Tricarboxylic acid cycle,TCA)中苹果酸氧化脱羧反应的关键标志酶。线粒体苹果酸脱氢酶2(Malate dehydrogenase II,MDH2)是一种位于线粒体基质中的酶,属于脱氢酶家族,在细胞的代谢过程中发挥着重要的作用。

在本期精选中,小编特别为您呈上明星抗体—K113672P,现在就加入我们,和MDH2 一起,开启一段不可思议的科学之旅吧

 

 

明星抗体

三维数据卡

名称

Anti-MDH2 Polyclonal Antibody

编号

K113672P

交叉反应

Monkey Human Mouse

应用

WB IHC IF

推荐稀释比例

WB 1:1000-3000.

IHC 1:50-200.

IF 1:50-200.

 

 

抗体靶标

 

MDH是细胞溶酶体中的一种氧化还原酶,是生物糖代谢的关键酶之一。MDH在细胞的多种生理活动中起着重要的作用,包括线粒体的能量代谢以及植物的活性氧代谢等。MDH可以分为苹果酸脱氢酶1(Malate dehydrogenase I,MDH1)和MDH2两种类型。

MDH1主要存在于细胞质中,参与苹果酸代谢途径中的氧化反应,将苹果酸转化为乳酸。MDH2存在于线粒体内,主要参与苹果酸代谢途径中的还原反应,将苹果酸转化为乳酸或乙酸。MDH2除了作为线粒体TCA的一部分,还可以将由MDH1产生并通过线粒体内膜的苹果酸转化为草酰乙酸,同时将NAD+还原为NADH,用于线粒体氧化呼吸电子传输链。

 

抗体靶标

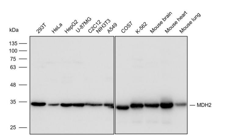
MDH2蛋白质的标准序列338个氨基酸,理论分子量约31/36kDa,实际蛋白分子量在34/35kDa(参考Western blot验证结果)。

抗体产品星推荐第二十四期lAnti-MDH2 Polyclonal Antibody

图 1 K113672P-Western blot验证

 

亚细胞定位

 

MDH2存在于线粒体基质。

抗体产品星推荐第二十四期lAnti-MDH2 Polyclonal Antibody

图 2 MDH2的亚细胞定位示意图

 

亚细胞定位

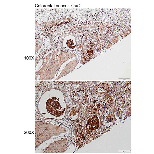
MDH2在所有组织中均有颗粒状胞质表达,在子宫内膜癌、直肠癌、非小细胞肺癌及前列腺癌等多种肿瘤组织中表达可能会升高。

抗体产品星推荐第二十四期lAnti-MDH2 Polyclonal Antibody

图 3 K113672P-Immunohistochemistry验证

抗体产品星推荐第二十四期lAnti-MDH2 Polyclonal Antibody

图 4 K113672P-Immunofluorescence验证


生物学功能

MDH2是线粒体内的一种酶,它参与苹果酸代谢途径中的还原反应。MDH2能将苹果酸氧化为草酰乙酸,同时将NAD⁺还原为NADH,在有氧呼吸过程中,细胞内的代谢物经过一系列反应生成苹果酸。当细胞饥饿或能量需求增加的情况下,MDH2的活性会被调节以适应细胞内氧化还原状态的改变。在细胞需要更多能量时,MDH2会加速苹果酸的氧化,增加NADH的生成,从而为电子传递链提供更多的还原力来合成ATP。

MDH2与糖代谢密切相关,在糖异生过程中,MDH2可以将苹果酸转化为草酰乙酸,草酰乙酸是一个关键的中间产物,从而为糖异生提供原料。同时,它也与脂肪酸代谢存在联系。脂肪酸经过β-氧化作用生成乙酰辅酶A,进入TCA后,MDH2参与的反应有助于维持TCA的正常运转,从而保证脂肪酸氧化产生的乙酰辅酶A能够被有效代谢。此外,MDH2还参与调节细胞内的氧化还原平衡和维持线粒体功能,有助于维持细胞内还原型谷胱甘肽(Glutathione,GSH)水平,从而保护细胞免受氧化应激的伤害。总之,MDH2在细胞代谢和能量产生中发挥着重要作用,对维持细胞正常功能具有重要意义。‌

 

第二十四期产品星推荐就到这里啦!想要了解更多产品信息,可以直接两下网站负责人哦

相关产品

产品货号

产品名称

K106619P

Anti-MDH1 Polyclonal Antibody

K107146P

Anti-MDH1 Polyclonal Antibody

K114117P

Anti-MDH1 Polyclonal Antibody

P01789

Recombinant Human MDH2/Malate dehydrogenase, mitochondrial

P09130

Recombinant Human MDH2 Protein

SE134

羊抗兔IgG-HRP

K1034G-AF594

SAlexa Fluor 594标记的羊抗兔IgG

K113672P-Ag

MDH2 Antibody Blocking Peptide

VT034218

pCMV-SPORT6-MDH2(mouse)

VT032326

pLV3-CMV-MDH2(human)-3×FLAG-CopGFP-Puro

VT025750

pDNR-LIB-MDH2(rat)

PR1910

彩虹180广谱蛋白Marker(11-180KD)

PC0020

BCA蛋白浓度测定试剂盒

SWBT-001A

Western Blot通用试剂盒(兔)

PVDF膜-0.45μm

SIHCT-001

IHC通用试剂盒(兔/小鼠)

DA1015

增强型DAB显色试剂盒(20×)

PE0010

ECL Plus超敏发光液

P1200

SDS-PAGE凝胶制备试剂盒

SP0041

通用SP检测试剂盒

 

 

 

北京索莱宝科技有限公司 商家主页

地 址: 北京市北京经济技术开发区环科中路16号26幢3层301

联系人: 索莱宝-龚思雨

电 话: 010-50973130

传 真:

Email:3193328036@qq.com

相关咨询
ADVERTISEMENT